수술적 치료

측만증의 수술적 치료
다양한 수술법과 기기의 발전에도 불구하고 척추측만증에서의 수술의 목적은 언제나 동일합니다.
그것은 균형된 척추를 갖게 하는 것입니다.
수술의 기본적인 원리는 교정 기기를 이용하여 만곡을 최대한 교정하여 유합술을 시행하는 것이나 더 중요한 것은 교정의 정도보다도 신체의 균형을 바로 잡아주는 것입니다. 
수술 방법을 결정할 때에는 단순히 Cobb 각도만 가지고 결정하여서는 안되며,환자의 성장 상태,만곡의 위치,만곡의 진행 가능성 등을 함께 고려하여야 합니다.
일반적으로 수술을 고려하게 되는 만곡의 크기는 40­50도입니다.
40도 이상이면 대개 미용상 문제가 있고 성인이 되어서도 점차 진행할 가능성이 높기 때문입니다.
수술의 적응증
1) 성장이 많이 남아있는 10대에서 40-45도 이상의 만곡
2) 보조기 치료에도 불구하고 계속 진행하는 만곡
3) 성장이 끝난 10대에서 50도 이상의 만곡 등을 들 수 있으나, 개개인의 차이를 고려해야 합니다.
수술 범위를 결정하기에 앞서, 만곡유형에 대한 정확한 판단을 내릴 수 있어야 합니다.
이중 구조성만곡인 경우는 유합 범위가 길어지게 되므로 만곡이 대상성이 있는지 다시 한번 확인할 필요가 있습니다.
수술법
여러가지 수술법이 소개되고 있지만, 수술의 기본원리는 직경 7mm정도의 강봉과 같은 교정기기에 휘어진 척추를 고정하여 교정을 얻은 후, 유합술을 시행하여 뼈를 굳히는 것입니다. 이때 사용된 강봉은 특별한 이유가 없는 한 제거하지 않습니다.
수술에 의한 교정력은 경우에 따라 다르겠지만 100% 교정은 아닙니다.
그러나, 20도 정도의 측만이 남아 있어도 외관상에는 크게 표시가 나지는 않습니다.
수술에 의한 교정력은 만곡의 정도, 수술 당시의 골연령 등에 따라 차이가 있습니다.
일찍 발견되어 만곡의 정도가 심하지 않고 나이가 어린 상태에서 수술 교정을 받게 되면 정상에 가깝게 많이 교정됩니다. 
그러나 늦은 나이에 만곡이 많이 진행한 상태에서 수술을 받게 되면 척추가 굳어서 교정이 많이 되지 않습니다. 
따라서 수술을 받아야만 되는 경우라면 수술의 시기를 놓치지 않고 수술을 받아야 수술 결과가 좋습니다.
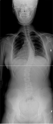
특발성 척추측만증 수술전
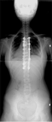
특발성 척추측만증 수술후