기타 측만증

선천성 척추측만증
선천성 척추측만증은 척추 발생시의 이상으로 인하여 측부의 길이 성장에 불균형이 생겨 발생하는 측만증을 말합니다. 
척추의 기형은 출생시부터 존재하지만 만곡이 항상 출생시부터 나타나지는 않습니다.
매우 다양한 임상경과를 보이는데, 심폐계 이상으로 인한 사망부터 마비, 동반된 선천성 기형 등의 다양한 문제를
야기할 수 있습니다. 또한 어린 나이에 심한 만곡을 보이고, 대부분의 경우 척추의 만곡이 성장기 전반을 통하여 진행하며, 이 만곡이 특발성 측만증이나 신경근육성측만증에 비해 유연성이 적어 교정이 어려우며, 그 자연 경과 또한 예측하기가 어려워 치료가 비교적 까다롭다고 할 수 있겠습니다.
Defects of Formation 형성 부전
: Misshapen vertebra causing scoliosis
발생과정에서 일부 척추의 형성 걸손으로 측만증 발생

Defects of Segmentation 분절 부전
: Multiple misshapen vertebrae fused on the opposite side with scoliosis
척추의 일부 또는 전부가 분리되지 않아 측만증 발생
Three-dimension CT scan of the spine showing a hemi vertebra
3차완 CT 영상 검사 상 반척추 형태
신경근육성 척추측만증
신경근육성 질환은 뇌, 척수, 말초 신경, 신경 근육 접합부, 근육 등의 정상 기능을 저해하는 일련의 질환군입니다.
뇌성 마비, 소아 마비, 사지 마비 등의 신경 질환과 근무력증 등이 포함되며 다양한 척추 변형을 일으키게 됩니다. 
이러한 척추 변형을 가진 환자는 다양한 일상 생활의 장애를 가지게 됩니다. 견갑부와 경추부의 기능 장애, 심폐 기능의 장애, 고정된 체간 불균형과 골반경사가 동반될 수 있습니다. 
따라서, 환자의 전반적인 건강에 악영향을 초래하게 됩니다.대부분의 질환이 어려서부터 시작되기 때문에 다른 
측만증에 비해 조기에 척추변형을 가져오게 되며, 지능, 감각, 자율신경계 등의 이상이 동반되는 경우가 많아 상태에 관한 정확한 평가와 적극적인 치료가 필요합니다.
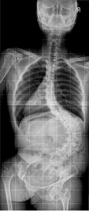
신경근육성척추측만증
환자 수술전 3D-CT사진
수술 전 전신 x-ray 사진
수술 후 전신 x-ray 사진
신경섬유종성 척추측만증
신경섬유종은 상염색체 우성의 유전형태를 가지는 유전성 질환으로 결합조직을 침범하여 과오종성 종양을 형성하며 중추 신경계와 말초 신경계를 모두 침범합니다. 척추 변형은 약 20-25%정도에서 나타나며 전체 측만증의 1-3%정도를 차지합니다. 
자연 경과는 만곡 형태에 따라 특발성 척추측만증과 같이 진행하는 경우도 있으나 심한 경우에는 성장과 함께 급격히 진행하고, 성장이 끝난 이후에도 계속 진행하여척추 마비를 초래할 수 있어 수술 등의 적극적인 치료가 필요합니다.
성인측만증
성인에서의 측만증은 이전의 측만증이 성인이 된 후에도 계속 존재하는 경우와 성인이 된 후 발생한 퇴행성측만증의 구분이 필요하나 두 가지 경우의 구분이 쉽지는 않습니다.
일반적으로 성인이 된 후에 발생한 퇴행성 측만증은 사춘기 이전부터 있었던 것에 비해 측만의 각도가 40도 이내인 경우가 많고, 남녀비가 동일하며, 주로 50세 이후부터 시작되고 방사선 소견상 퇴행성 측만증은 요추 전반에 걸친 심한 퇴행성 변화를 가지고 있는 경우가 많습니다. 

그러나 퇴행성 측만증은 변형 자체보다는 퇴행성 변화에 의한 신경증상과 동반된 척추관 협착증이 문제가 되는 경우가 대부분이며 수술적 치료시 수술 범위의 결정에 영향을 미치게 됩니다. 

따라서, 다른 측만증과 마찬가지로 신경증상이 있는 분절의 파악, 요추의 전만, 만곡의 진행, 만곡의 유연성, 감압 분절수 등을 고려하여 수술 범위를 결정하여야 합니다.